Leo H.
Dr stevens and his whole staff are superfriendly and very professional. I love Dental Arts of Boston.
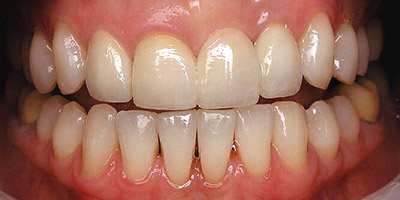
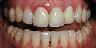
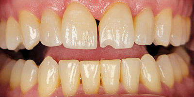
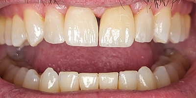
At Dental Arts of Boston, we hear from patients all the time about what they’d like to change about their appearance. You probably have thought the same thing when you look in the mirror. Now it’s time to do something about it! Browse our Boston smile gallery to find out what’s possible. We’ve transformed the smiles of many patients and can’t wait to help you with yours.
Schedule an appointment by calling 857-376-6559 today. Before you know it, you’ll be part of our smile gallery too! You can also check out our patient testimonials to see why so many patients love our practice.
Before
After
Before
After
Before
After
Before
After
Before
After
Before
After