Boston’s Premier Cosmetic & Family Dentist in Back Bay
Serving Back Bay, Beacon Hill, South End, and surrounding Boston neighborhoods. From teeth whitening to dental implants — expert care for every smile.
Our Services
Comprehensive Dental Care for Boston Patients
Whether you’re searching for a cosmetic dentist in Boston, need dental implants, or just a routine cleaning — our Back Bay practice has you covered for every dental need.
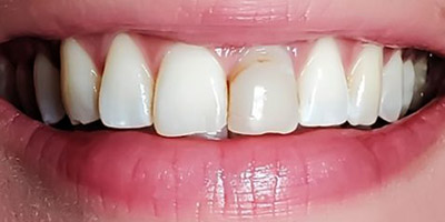
Cosmetic Dentistry Boston
Transform your smile with porcelain veneers, professional teeth whitening, and smile makeovers performed by Boston’s leading cosmetic dentists.
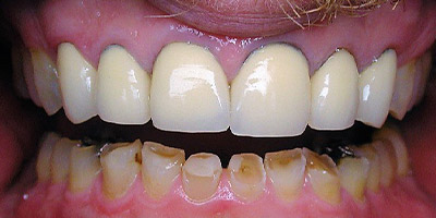
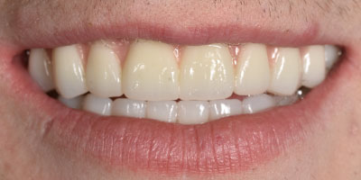
Learn More →Dental Implants Boston, MA
Replace missing teeth with permanent dental implants that look, feel, and function like natural teeth. Single implants and full-mouth reconstruction available.
Learn More →Porcelain Veneers Boston
Cover chips, cracks, stains, and gaps with ultra-thin custom veneers. Our Boston cosmetic dentists design every veneer for a natural, radiant finish.
Learn More →Clear Aligners / Invisalign
Straighten your teeth discreetly with clear aligners — no metal wires, no brackets. A popular choice for Boston professionals and students.
Learn More →Emergency Dentist Boston
Broken tooth? Severe toothache? We offer same-day emergency dental care in Boston for patients of all ages. Call us immediately: 857-376-6559.
Learn More →Family Dentist Back Bay
General cleanings, exams, gum disease treatment, and pediatric-friendly care. One convenient Boston location for your entire family’s dental health.
Learn More →Dental Crowns & Bridges
Restore damaged or missing teeth with custom-crafted crowns and bridges matched precisely to your natural smile. Durable, beautiful, long-lasting.
Learn More →Periodontal & Gum Care
Our Harvard-trained periodontist Dr. Hamad specializes in gum disease treatment, periodontal surgery, and gum health restoration in Boston.
Learn More →TMJ & Sleep Apnea
Find lasting relief from jaw pain, teeth grinding, and sleep apnea with specialized treatment from our experienced Boston dental team.
Learn More →Why Patients Choose Us
Boston’s Most Trusted Dental Practice for Over 40 Years
Dental Arts of Boston has been the go-to cosmetic and family dentist for Back Bay, Beacon Hill, and South End residents for decades. Our multigenerational team of Tufts and Harvard-trained dentists brings unmatched expertise and genuine care to every appointment.
- ✓Tufts & Harvard-trained doctors — Four board-certified dentists with decades of combined experience in cosmetic and restorative dentistry.
- ✓Cutting-edge technology — 3D imaging, laser dentistry, and digital impressions for faster, more accurate, more comfortable care.
- ✓Same-day emergency appointments — Boston patients can rely on us when dental emergencies happen. Call anytime during business hours.
- ✓No insurance? No problem — Our in-house Membership Club and Cherry financing make great dental care accessible to everyone.
- ✓Anxiety-free dental care — We take extra time to ensure every patient feels comfortable, informed, and respected throughout their visit.
- ✓Conveniently located in Back Bay — Steps from the Green Line at Copley and Arlington stations. Easy T access from all Boston neighborhoods.
No Dental Insurance? Join Our Membership Club
For a low monthly fee, our in-house Membership Club covers your biannual cleanings and exams, plus at least one emergency exam. Save on all other treatments too. No waiting periods, no deductibles, no hassles.
Join Today — Save on Dental Care →Meet the Team
Boston’s Premier Dental Team
Our four board-certified dentists trained at Tufts University and Harvard University. Each brings specialized expertise to give you comprehensive, world-class dental care under one roof in Back Bay, Boston.

Dr. George Stevens, DMD
Cosmetic & General Dentistry
Tufts School of Dental Medicine. Former chairman, Metropolitan District Dental Society. 40+ years serving Boston.
Dr. Michelle Stevens, DMD
Cosmetic & Periodontal Dentistry
Tufts University School of Dental Medicine. Advanced Periodontal Selective Program. Expert in cosmetic transformations.
Dr. Mahmoud Hamad, DMD
Periodontist — Gum Specialist
Harvard University periodontal residency. Western University of Health Sciences. Expert in implants and gum disease.
Dr. Athena Papas, DMD, PhD
Oral Medicine Specialist
Tufts University Distinguished Professor. 40+ years of research. Expert in oral medicine for diverse patient populations.Patient Reviews
What Boston Patients Are Saying
Hundreds of five-star reviews from real patients across Back Bay, Beacon Hill, South End, and beyond. Don’t take our word for it — read what they say.
“Always professional and caring, this team of dentists is simply the best in Boston! Their high-quality work and dedication have won me over. I love them. Keep up the amazing work!!!”
“Dr. George Stevens and his genuinely caring and friendly staff are very down to earth and professional. Each visit leaves me with an improved smile on my face. Thanks so much.”
“The staff is amazing! Starting from the first phone call. Dr. Stevens and Michelle listen to you fully, really explain your options. They give you all the tools to make an informed decision.”
“Excellent experience. Dr. Michelle Stevens was amazingly thoughtful and thorough. I felt like my comfort was almost as high a priority as my teeth!”
“Dr. Stevens is a top notch dentist. I’ve been going to his practice for near 40 years now. He’s excellent at his profession and walks you through each and every procedure.”
“Words fail to adequately express how one visit has forever changed three individuals, two traumatized by dentists in the past. Every single person made me feel at ease!”
FAQs
Frequently Asked Questions About Our Boston Dental Practice
Answers to the most common questions from patients searching for a dentist in Boston, MA.
Areas Served
Your Local Boston Dentist — Serving Every Neighborhood
Dental Arts of Boston is centrally located at 26 Marlborough St in Back Bay, making us the convenient choice for patients across all Boston neighborhoods and surrounding communities.
Located at 26 Marlborough St, Boston, MA 02116 — Steps from the Green Line. Easy access by T, bike, or car.
Ready for a Smile You’ll Love? Schedule with Boston’s Best.
Whether you need a routine cleaning, cosmetic transformation, or emergency dental care — Dental Arts of Boston is your trusted Back Bay dental home. New patients welcome.
